“Если человек хочет стать здоровым, то сначала нужно спросить его, готов ли он избавиться от причин болезни. Только после этого, ему можно будет помочь» Гиппократ
Человеческое тело на микроуровне напоминает экосистему.
Организм человека состоит из множества функциональных систем, каждая из которых работает на поддержание здоровой жизнедейтельности. Нарушение баланса в одной области имеет серьезные последствия как для других, так и для всего организма в целом.
Факторы, определяющие здоровье человека:
- Образ жизни 50%(питание, курение, алкоголь, стрессы, подвижность).
- Наследственность 20%.
- Внешняя среда 20% (вода, воздух, почва, уровень естественных и техногенных излучений, экологическая ситуация).
- Состояние здравоохранения 10%.
Таким образом, продолжительность жизни зависит от многих факторов, рациональное управление которыми, позволяет увеличить продолжительность и улучшить качество жизни.
Челюстно-лицевая область из чего состоит:
-
- Верхняя и нижняя челюсть
- Нос(наружная часть)
- Придаточные пазухи носа
- Глаза
- Лобная, височная области
- Височно-нижнечелюстные суставы
- Ушные раковины
Зубочелюстная система . Анатомия ротовой полости:
-
-
- Губы;
- Предверие полости рта;
- Щеки;
- Альвеолярный отросток;
- Небо (твердое, мягкое);
- Язык;
- Слюнные железы;
- ВНЧС;
- Жевательная и мимическая мускулатура;
- Зубы;
- Пародонтальный комплекс..
-
Жизненно важные функции зубочелюстной системы:
Пищеварение:
- Измельчение пищи
- Формирование пищевого комка
- Ферментативная обработка
Воздухопроведение:
- Дыхание
- Речь
Рецепторные функции:
-
- Вкусовые
- Терморецепторы
- Барорецепторы
- Тактильные
Особенности челюстно-лицевой области
Рядом находятся жизненно важные органы:
- Головной мозг
- Придаточные пазухи носа
- Связь со средним ухом
- Кость верхней челюсти участвует в формировании придаточных пазух носа и глазницы
- Сосудисто-нервный пучок шеи
- Слюнные железы
- Пищевод
Богатая иннервация, т. е.: высокая концентрация нервных волокон и богатое кровоснабжение;
-Высокая контаминация полости рта м/о;
-Наличие зубов, пародонтального комплекса.
Строение зуба:
Заболевание пародонта – ответ организма на бактериальную инвазию
1.Местные факторы риска:
- Нарушение гигиены
- Патология прикуса
- Состояние и продукты обмена в биопленке
2.Гомеостаз полости рта ( факторы, способные усилить или ослабить действие м/о и их продуктов обмена).
3.Системные факторы:
- — Образ жизни, питания
- -Гиподинамия→гипоксия→нарушение трофики тканей
- -Психоэмоциональное напряжение (состояние перманентного стресса)
- -Наследственные энзимопатии антиоксидантных ферментов
-Рафинированное питание: (3 «К»):-Количественный состав пищи
- Качественный состав пищи
- Консистенция пищи
Население стало жертвой синдрома «3К»
- Количественный состав пищи.
- Качественный состав пищи.
- Консистенция пищи.
- Понизилась калорийная необходимость на 1000-2000 ккал/ сутки (3-4 тыс.ккал до 2400-2600 ккал/сутки).
- Дефицит Vit «С» на 70-100%, а Vit «С» это:
- Антиоксидантная активность;
- Противомикробная и противовирусная активность;
- Проницаемость сосудов;
- Обменные процессы.
- Снижение потребления макро- и микроэлементов (Са, К, Fe, Mg, Cr, Se…)
- Повышение содержания сахара и жира в потребляемой пище.
По данным ВОЗ
«N» — жиры до 30% — сахар до 10%
Украина: — жиры до 38% — сахар до 18%
В результате мы имеем:
Избыточный вес → гиподинамия → нарушение трофики → хроническая неинфекционная патология
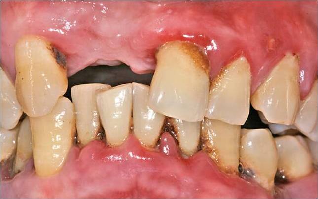
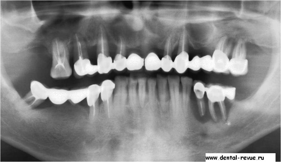
Вид больных и протезированых зубов, вы хотите себе такие зубы уже в молодом возрасте.
- Плохо пережеванная пища → необработанная поступает в ЖКТ → гниение,брожение, усиленнныое размножение патогенных м/о → воспаление ЖКТ → подавление роста полезных м/о → дисбактериоз → нарушение перистальтики → нарушение пищеварения → неусвояемость полезных веществ → страдает имунная система кишечника.
- -Токсины попадают из ЖКТ в ток крови и окружающие ткани, пространства → заболевания от интоксикации органов малого таза.
- -Печень работает с перегрузками(надо нейтрализировать токсины из крови)
- -Имунная система в напряжении, так как реакция на бактериальную инвазию → длительное напряжение имунной системы → «усталость» → болезнь в проблемных органах.
Кариес (некроз под действием м/о твердых тканей зуба) начинается со стадии «пятна» →поверхностный кариес → средний кариес → глубокий кариес → пульпит (воспаление («нерва») пульпы зуба) → периодонтит (воспаление периодонта)
По течению:
- Острые
- Хронические
Общим элементом у всех этих заболеваний есть ВОСПАЛЕНИЕ (в отдельных случаях гноетечение из пародонтальных карманов) → «продлема»:
Септпиемия (м/о и простейшие через стенки поврежденных сосудов из зоны воспаления попадают в ток крови и распространяются по всему организму, оседая в органах и тканях → угроза болезни.
Кандидоз полости рта
Отдельную категорию, особенно в последнее время, уделяют грибковым поражениям слизистых оболочек и полости рта в частности. На фоне имунодефицита организм не в состоянии подавлять рост грибков рода Candida. Прикрепляясь к поверхности слизистой оболочки, они образовывают колонии, размножаются в геометрической прогресии, проникают в межклеточные пространства, в подслизистый слой, разрушая межклеточные связи →
Образуют эрозии, язвы, отек, гиперемия, боль, жжение, невозможность принятия пищи, понижается слюновыделение → сиалодениты. Кандидоз, который практически не поддается лечению входит в перечень маркеров ВИЧ – инфекции.
Функции:
-
- Голосообразование
- Обоняние(верхняя носовая раковина)
- Связь со вкусовыми анализаторами
- Слух
- Вестибулярный анализатор
- Дыхание (средняя и нижняя носовые раковины)
Мукоцилиарная транспортировка( выработка слизи «N»~1л/сутки, мерцательный эпителий→ увлажнение воздуха, очищение от пыли и др. мелкодисперсных частиц, нейтрализация вредных газообразных веществ, обеззараживание от м/о при помощи находящихся в слизи микробиоцидных ферментов, интерферона и особенно белка IgA/
- Слезовыделительная роль( в нижний носовой ход открывается слезоносовой канал). В сутки выделяется около 1л слезы.
- Резонаторная роль, согрев и увлажнение воздуха в околоносовых пазухах
– в средний и верхний носовые ходы открываются отверстия околоносовых пазух
– защита центральной нервной системы и глаз при травмах лица.
- Периферические клетки имунной системы – миндалины:
— аденоиды (носоглотачная)
— небные
— трубная (вокруг отверстия слуховой трубы в носоглотке)
— язычная
— на задней стенке глотки «рассыпаны» отдельные лимфатические островки .
- Посещение стоматологического кабинета 2 р/год:
-Профессиональная чистка
-Проф.осмотр
Помощь организму в его здоровом функционировании:
— Гигиена полости рта
Дезодорируем и насыщаем ткани полости рта и организма в целом кислородом при помощи Хлорофилла
Заботимся о сосудистом русле: Лецитин и Омега-3 , Гинкго билоба, Гинкго/готу кола
Кормим твердые ткани зубов и слизистую оболочку полости рта
Ca-содержащие:
-
- Кальций, Магний хелат
- Коралловый кальций
- Остео плюс
Vit-содержащие:
- Нутри калм
- Супер комплекс
- Мега-хел
Почему так важна сера?
Помогаем клетке справится с перекисным окислением липидов
- Антиоксидант
- Омега-3
- Кофермент Q10
- Колострум
- Грепайн
Помогаем имунитету:
- Пчелиная пыльца
Лекция от Чешко Ружена Врача-стоматолог высшей категории






